Bile Duct Cancer Surgeon in Lahore - Cholangiocarcinoma

Cholangiocarcinoma

Prof. Dr. Rashid Siraj: Expert Care for Bile Duct Cancer

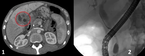
Cholangiocarcinoma, commonly known as bile duct cancer, is a rare but destructive form of cancer that develops in the bile duct. Initial diagnoses and specialized treatments are vital for handling this serious condition effectively.

Prof. Dr. Rashid Siraj offers the latest, most complete, and personalized Cholangiocarcinoma treatment services according to all our patients’ needs. Our expert surgeon and experienced medical staff never compromise on developing an individualized treatment plan that meets the patient’s personal needs and condition.

Prof. Dr. Rashid Siraj has effectively treated numerous cases of cholangiocarcinoma, delivering successful results even in complex cases. For fairly advanced cancers or when the growth rate of these tumors is very high, a surgeon may recommend surgical treatments.

Advanced diagnosis techniques are adopted, and the best possible treatment is opted out according to the condition and stage of the tumor, but most treatments include removing the bile duct or affected part.

Why Choose Prof. Dr. Rashid Siraj for Cholangiocarcinoma Treatment?

Prof. Dr. Rashid Siraj a leading Hepatobiliary Surgeon in Pakistan with 20 year of professional experience, adopt latest surgical and diagnostic technology, confirming the best possible care. He also has customized approach and personal care for each patient, focus on both the cancer and the individual’s quality of life.

Contact Prof. Dr. Rashid Siraj today for consultation and treatment options and receive world-class care from one of the leading hepatobiliary surgeons in Lahore.